|
EVALUATION
OF THE CHEST X-RAY
|
|
Technical
quality
1.
DENSITY or X-Ray Penetration
2. POSITION of the scapulae
3. ROTATION of the C X-R
4. DEGREE of inspiration
|
DENSITY
Vertebral bodies must be VISIBLE through the cardiac shadow
|
POSITION
of the SCAPULAE
They should project outside the lung fields
wrong--->
correct:

|
ROTATION
Medial ends of the claviculae should be EQUIDISTANT from the spinous
process
|
INSPIRATION
Anterior
segment of the 6th rib
Posterior segment of the 9th rib

ABOVE the DIAPHRAGM
|
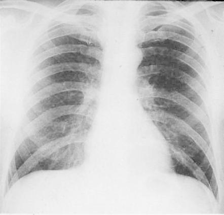
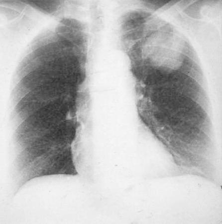
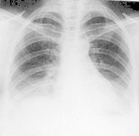
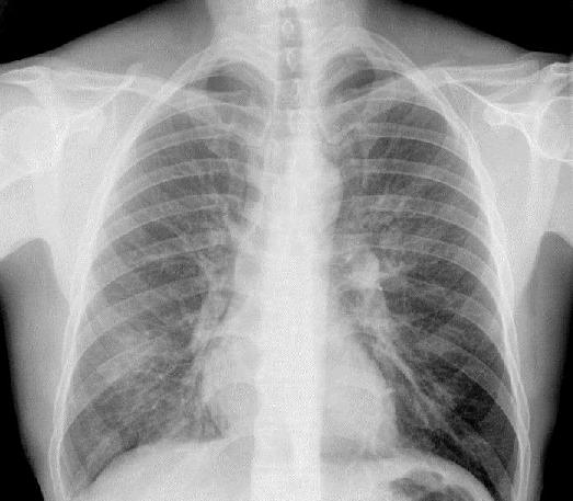
INSPIRATION
Poor Inspiration (picture to the right -->):
* False enlarged heart
* Difficult evaluation of the lungs
Same patient on inspiration (below):

|
THE
NORMAL CHEST X-RAY
1. Heart
2. Hila
3. Mediastinum
4. Lungs
5. Diaphragm
6. Chest wall
7. Pleura + sinuses
|
The
Heart
1. Always
look at both films
2. Right border: Edge of (r) Atrium
3. Left border: (l) Ventricle + Atrium
|
The
Heart - lateral film
4. Posterior
border: left Ventricle
5. Anterior border: right Ventricle
|
The
Hila
1. Made of:
* Pulmonary Art. + Veins
* The Bronchi
2. Left Hilus higher (max 1-2,5 cm)
3. Identical: size, shape, density |
The
Mediastinum
1. Look at
both films
2. The edges should be clear
3. Right sup.border:
* Innominate vessels + Sup. vena cava
4. The (r) paratracheal line (2-3 mm)
5. Left sup. border:
* Subclav.art. + Arcus aorticus (2-3 cm)
|
The
LUNGS
1. Equal
density
2. Symmetrical
3. Look for the Minor Fissure
(from the right hilus to 6th rib)
4. Look for the Major fissure (lateral)
(from T4-5 to the diaphragm)
|
The
diaphragm
1. Both Hemi.
clearly VISIBLE
2. Both have CONVEX shape
3. The right is HIGHER (1-3 cm)
|
The
Lateral Films
1. Lung
Fields in front and behind the heart
= Same Density
2. Density over the heart
= density over upper thoracic spine
|
The
Lateral Films
3. Check
the position of FISSURES
4. The Hila (density, size, etc)
5. Vertebral bodies
|
Additional
Views
1. Expiration
views
Pneumothorax
2. Decutitus (lateral)
Pleural fluid
3. Rib views
Fractures. Other lesions
|
The
Abnormal Chest X-Ray
1. Heart
failure
2. Enlarged Hila
3. Enlarged Mediastinum
4. Lung disease: (infection, emboli, pneumothorax, emphysema, "Coin lesion")
|
1.
Heart failure
Radiological
Signs:
a) Enlarged heart shadow
C.T. index > 50 %
b) Vascular redistribution
|
1.
Heart failure
c) Kerley
lines "B"
d) Pulmonary Edema:
Interstitial
Alveolar (bilateral)
e) Pleural fluid
|
The
Enlarged Hila
Causes:
1. Adenopathies (neoplasia, infection)
2. Primary Tumor
3. Vascular
4. Sarcoidosis
|
The
Enlarged Hila
Diagnostic
approach:
Chest X-Ray (2 planes)
CT scan
|
The
Enlarged Mediastinum
1. Always
EXCLUDE rotation
2. Causes: Superior / Anterior
* Thymoid
* Thymus
* Innominate artery
* Lymphoma
|
The
Enlarged Mediastinum
3. Causes: Middle
/ Inferior
* Lymphoma
* Aortic aneurysm
* Dilated eosophagus
|
The
Lung diseases
1. INFECTIONS
a) TBC
b) Pneumonia
|
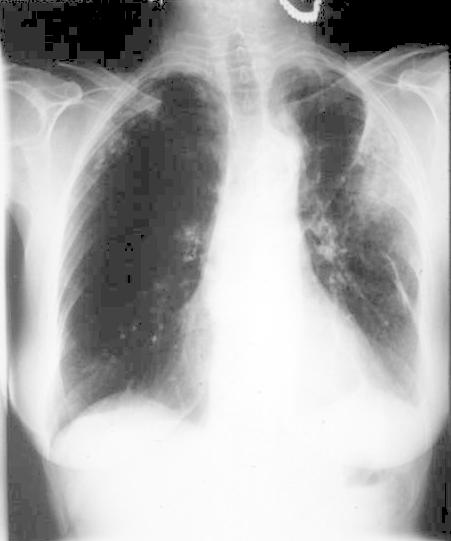
Tuberculosis
TBC signs:
1. Reticulo - Nodular
2. Apical + Parahilar
3. Uni- og Bilateral |
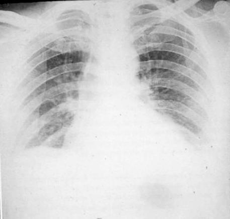
Pneumonia
Characteristics:
1. Infiltrate + "Air bronchogram"
2. Diffuse, Homogeneous
3. Location:
* Uni- og Bilateral
* Segmental or Lobar
|
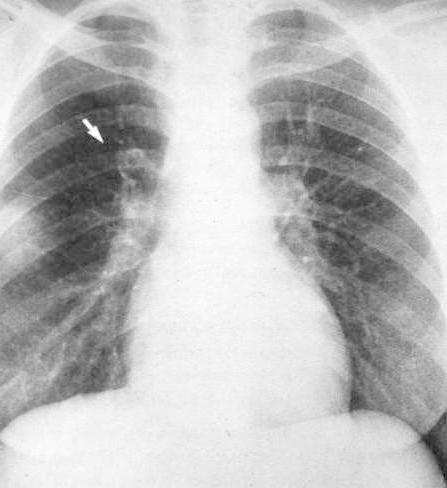
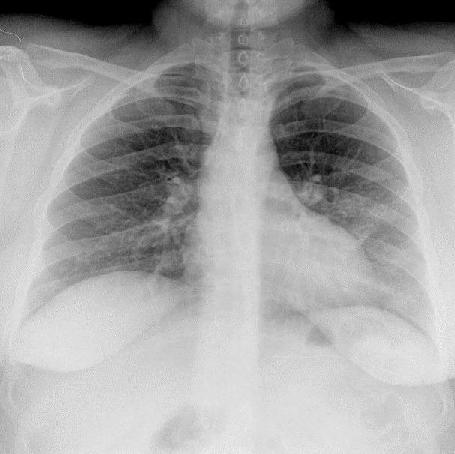
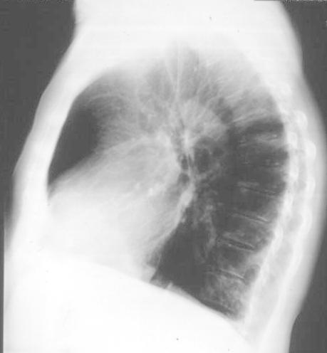
Pneumonia
The "Silhouette"
Sign = Indistinct Heart Border
Location: Middle lobe or Lingula
Example: Pneumonic infiltrate in upper segment of middle lobe (r) visible as
indistinct heart border in frontal projection 
and clearly visible in lateral projection


|
Fibrosis
Vs Infiltrate
|
|
FIBROSIS
|
INFILTRATE
|
Apical
|
+++
|
+
|
Basal
|
+
|
+++
|
Bilateral
|
++
|
++
|
Small
lungs
|
+++
|
no
|
|
Pulmonary
emboli
Frequent
Signs:
1. Darker area of Reduced Perfusion
(Westermark's sign)
2. "Cut off" sign
3. Focal Consolidation (infarction)
CT scan
|
Pneumothorax
X-Ray
signs:
1. Pleural line
2. No parenchym behind the line
3. Displacement of mediastinum
|
The
"Coin Lesion"
Definition:
"A well circumsc. shadow in the lungs"
Causes:
* Tumor (benign or malignant)
* Infection (eg. abscess, TBC)
* Cyst (Hydatid), Rheuma, nodule
|
The
"Coin Lesion"
# Always
look at old films
Signs of Malignency:
* Irregular borders
* Prominence of additional lesions
* Parahilar mass + bone lesion(s)
|
The
Coin Lesion
# If
Malignant signs present
or if (?)
CT Scan
MRI |
CONCLUSION
1. "Good"
Technique
2. "Good" Look at both films
3. "Good" LUCK
|
Author:
Claude Pierre-Jerome
Edited by: Arne Westgaard, 14.12.2000.
Updated 31.03.2003.
©
www.legevakten.no
|